الاینرهای MIB چیست ؟
ارتودنسی شفاف یک روش نوین ارتودنسی ست که از مجموعه پلاک های شفاف کم ضخامت و متحرک تشکیل شده و بدون سیم و براکت به اصلاح ناهنجاری و موقعیت دندان کمک می کند. الاینرها از جنس پلاستیک پزشکی ساخته شده و ظاهری شبیه به نایت گارد دارند و روی دندان مشخص نمیشوند و با به کاربردن متوالی این پلاک های شفاف دندان ها مرحله به مرحله حرکت کرده و به وضعیت دلخواه شما می رسند.
ادامه مطلب
ناهنجاریهای قابل درمان
اوربایت
اگر دندان های جلویی فک بالا، بیش از حد معمول جلوتر از دندان های فک پایین قرار بگیرد، حالت اوربایت پیش می آید. اکثر افراد دارای کمی اوربایت هستند اما اگر اندازه آن به بیش از حد معمول برسد خطرناک است و نیاز به درمان دارد.
کراس بایت
هنگامی که بعضی از دندان های فک بالا، پشت دندان های فک پایین قرار بگیرد، حالت کراس بایت پیش می آید که لب پر شدن دندان ها، دشواری در جویدن و خوردن غذا، تحلیل لثه و از دست دادن استخوان از عوارض این ناهنجاری محسوب می شود.
اپن بایت
هنگام بسته بودن فک اگر دندانهای جلویی فک بالا و دندانهای جلویی فک پایین با یکدیگر تماس نداشته باشند، حالت اپن بایت پیش می آید که این ناهنجاری علاوه بر تاثیر مخربی که بر زیبایی فرد دارد، در صحبت کردن فرد ایجاد اختلال می کند.
مزایای الاینرهای شفاف
شفاف و نامرئی
مهم ترین مزیت الاینر، شفاف بودن آن است که باعث میشود کسی متوجه درمان ارتودنسی شما نشود. در واقع الاینر برای افرادی که نمیخواهند در طول دوره درمان ارتودنسی با ظاهر سیم کشی و فلزی دندانها حاضر شوند، بسیار گزینه خوبی است.
بدون ایجاد درد
مکانیسم عملکرد الاینرها از طریق اعمال نیرو به دندانها است و ممکن است روزهای اول درمان احساس ناخوشایندی داشته باشید که خیلی زود این فشار و درد برطرف می شود. الاینرها برخلاف سیستم های ارتودنسی ثابت باعث ایجاد درد و التهاب لثه و قسمت داخلی دهان شما نمی شوند.
بدون محدودیت غذایی
در درمان با استفاده از الاینرها برخلاف سایر روش های ارتودنسی، محدودیت غذایی وجود ندارد. بیمار برای خوردن غذا و نوشیدن، الاینر را از دهان خارج می کند، غذای مورد علاقه خود را میل می کند و سپس بعد از شست و شو الاینر را داخل دهان قرار می دهد.
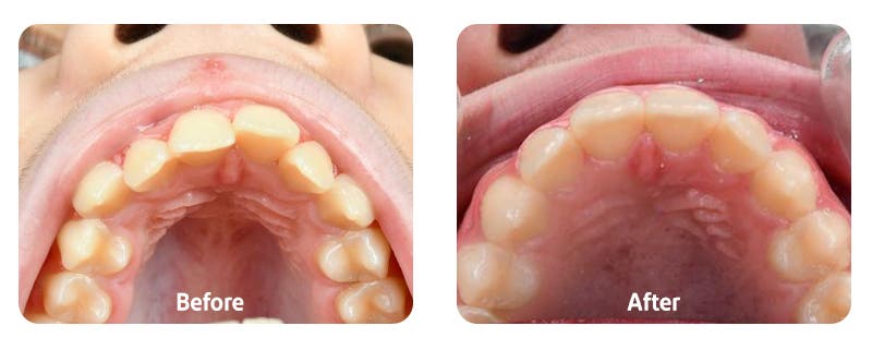
قبل و بعد درمان با الاینر
.jpg?536)

ویدئوها
چرا mib الاینر ؟
پشتیبانی تمام وقت
از زمانی که شما درمان خود را با الاینرهای شفاف mib شروع می کنید، همکاران ما در این بخش تا انتهای درمان پشتیبان شما هستند. ما از ابتدای درمان تا انتها و رسیدن به نتیجه ی مطلوب همراه دندانپزشکان و بیماران عزیز هستیم.
همکاری متخصصین دندانپزشکی و مشاورین برای طرح درمان ها
برای انجام طرح درمان سه بعدی در نرم افزارهای تخصصی از همراهی و مشاوره ارتودنتیست ها، متخصصین دندانپزشکی زیبایی، دندان پزشکان و متخصصین زبده در حیطه ی درمان الاینرهای شفاف بهره می گیریم و هر طرح درمان متناسب با شرایط و آنالیز بیمار انجام می گیرد.
...
چگونه کار میکنیم ؟
مراحل چهارگانه ی روند طراحی و تولید الاینر
-

مرحله 1
انتخاب دندانپزشک
شما می توانید با همکاری مشاوران MIB دندانپزشک نزدیک به محل سکونت خود را پیدا کرده و برای مشاوره ی رایگان تماس بگیرید.

-
مرحله 2
قالب گیری
بعد از انجام مشاوره، در صورت مناسب بودن شرایط دندانهای شما برای درمان با الاینر، قالب گیری و یا اسکن سه بعدی انجام میشود.


-

مرحله 3
دریافت پکیج الاینر ها
پکیج الاینرهای شما برای دندانپزشک شما ارسال میشود.

-
مرحله 4
لبخند دلخواه
با استفاده صحیح از الاینرها و نظارت دندانپزشک خود به لبخند دلخواهتان برسید .


آخرین مقالات
مقایسه تکنیک ارتودنسی ثابت و الاینر نامرئی
الاینرهای نامرئی نسبت به دستگاه های ثابت ، دندان ها را بطور متفاوتی حرکت می دهند. بنابراین یادگیری شباهت ها و تفاوت ها بین الاینر های نامرئی و دستگاه های ثابت هنگام تصمیم گیری دندانپزشک در باره شیوه درمان ضوروری است.
الاینر نامرئی چیست؟
تکنیک ارتودنسی بدون سیم یا همان الاینرهای نامرئی شلیدهاییی از جنس پلاستیک پزشکی می باشند که با دمای دهان بیمار متناسب بوده و تغییر حالت خواهند داد .
بدیهی است دمای بالاتر از دمای طبیعی بدن انسان باعث برهم ریختگی الاینر ها و تغیر شکل آنها خواهد شد
جدیدترین رویدادها
پنجمین دوره آموزش تکنیکهای ارتودنسی شفاف در تاریخ 9 شهریور ماه 1402 برگزار می گردد